Fear Neuro No Longer!
Now in Beta! CortexVet.Com
Select From The Following Options
Have Dr. Gibson Consult on a Case!
(Costs and report examples shown!)
Active Learning -
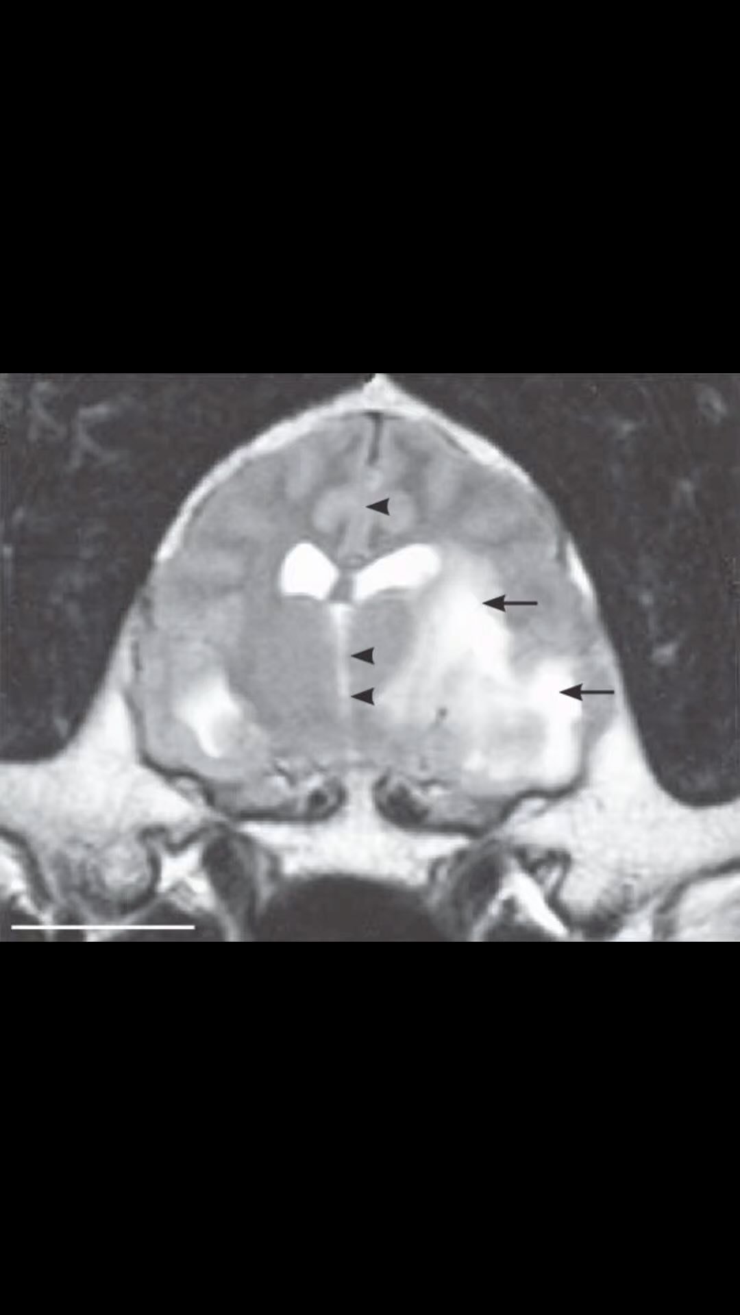
Cranial Nerves
Oklahoma State Students
Auburn Elective
NAVLE Cohort (through partner sites)
Radiology Resident Training Course
‘25 New York Vet Show - Your Questions Answered!
‘25 Wild West Vet Show (Reno) - Your Questions Answered!
WVC - Las Vegas - Your questions answered!
MSCVMA Conference
AVMA 2025 Washington DC
Follow-Up! Your questions answered!
AVMA Austin Follow-Up! Your questions answered!
Wild West Vet Show (Reno) Follow-Up!
Dr. Gibson’s Partner Sites
Tired of answer all the questions about your family’s and friends pets?! Send them to our partner site!
Want some free education, too?! Amazing neurological resources and discussions!
Use my link above to join me in the VetHive community where you can ask questions, participate in education experiences, and feel supported! Discoutined rates for students.







